본문 바로가기 주메뉴 바로가기 보조메뉴 바로가기 푸터 바로가기

관상동맥 조영술

컨텐츠내용 프린트하기
관상 동맥 질환(Coronary Artery Disease, CAD)은 관상 동맥의 협착 또는 막힘으로 인한 심각한 심혈관 질환입니다. 관상동맥은 산소가 풍부한 혈액을 심장 근육에 공급하여 제대로 기능할 수 있도록 합니다. 관상 동맥 질환은 콜레스테롤, 지방, 칼슘 및 기타 물질의 축적물인 플라크가 동맥 내벽에 축적되어 죽상경화성 플라크(Plaque)를 형성할 때 발생합니다. 시간이 지남에 따라 이러한 플라크는 혈류를 제한하여 다양한 합병증을 유발할 수 있습니다.

583d012476a401e39b0d21eb5b5f8837_1688025758_6707.png 
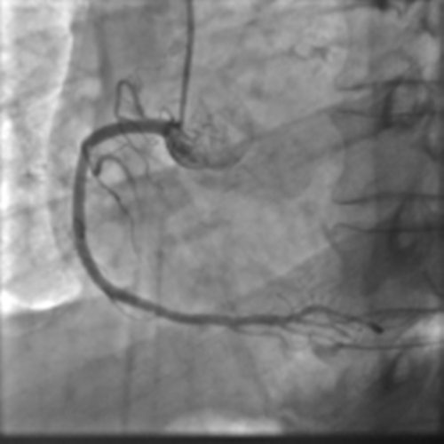
RCA(Right coronary artery)
583d012476a401e39b0d21eb5b5f8837_1688025772_4897.png 
LCX(Left circumflex artery)  
583d012476a401e39b0d21eb5b5f8837_1688025787_4604.png
LAD(Left anterior descending artery)